Teeth Whitening »
For a dazzling bright white smile.Invisalign »
Get the smile you deserveFacial aesthetics »
Enhance your skin

Teeth Whitening »
For a dazzling bright white smile.Invisalign »
Get the smile you deserveFacial aesthetics »
Refresh, rejuvenate, re-energiseDental Implants
What are implants?
Implants are one way of replacing missing teeth. Dental implants are small metal screws which are gently inserted into the jaw during surgery. Teeth, in the form of a crown, bridge or denture, are then attached to the implant.
Implant treatment normally has two stages. First, the implant is placed in the jaw. Then, when the jaw has healed, replacement teeth are attached to the implant. In some situations it is possible for temporary teeth to be attached to an implant at the time of fitting.
Would implants be right for me?
First, you should decide whether implants could be right for you. Contact us to arrange an implant consultation and discussion and we will let you know the possibilities. Our team will be only too happy to help you with any questions you may have.
If you decide to go ahead, this is what will happen.
- Bone is exposed in the jaw where the tooth/teeth are missing. A hole is drilled and the implant is inserted into the bone.
- The implant is placed or pushed into the bone and the gum is then stitched so that it heals over the implant.
- Under the gum, the bone then grows around the implant to hold it secure. This takes several months.
Implants usually have two sections – the implant screw in the jaw and an extension that is added later when the implant screw is secure. Attaching the extension needs a small cut in the gum above the implant screw approximately 3 to 6 months later. Once the soft tissues have healed around this extension, construction of the replacement teeth can begin. The replacement teeth might be fixed permanently (like a crown or bridge) or attached in a way which lets you remove them for cleaning (like a denture).
Case 1
Before and after missing premolar tooth and poor crown restored with implant and replacement crown.
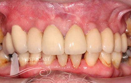
Case 2
This patient arrived with worn, fractured and missing teeth. His smile was transformed with fillings, crowns and dental implants which improved his appearance and ability to eat.
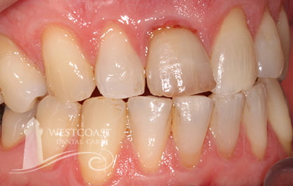
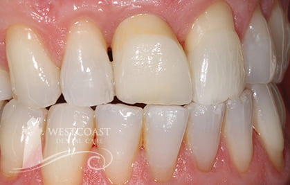
Case 3
This patient presented with a loose and darkened incisor that was fractured below the gum that was replaced with an aesthetic implant crown. The remaining teeth received tooth whitening.
Case 4
This patient had an infected lower molar extracted. Following a period of healing a central implant was placed and restored with a natural crown to provide a strong and aesthetic tooth replacement.

West Coast Dental Membership plan
If you're worried about expensive treatment costs, why not take a look at our monthly membership plans »













