Teeth Whitening »
For a dazzling bright white smile.Invisalign »
Get the smile you deserveFacial aesthetics »
Enhance your skin

Teeth Whitening »
For a dazzling bright white smile.Invisalign »
Get the smile you deserveFacial aesthetics »
Refresh, rejuvenate, re-energiseTooth Whitening
Whitening is a process where the tooth discoloration is ‘whitened’ to a lighter shade. It removes the staining agent through chemical means. It is a safe procedure when carried out under professional supervision. Treatment results usually depend on the severity of the discoloration. Both vital teeth (live) and non-vital teeth (tooth with nerve removed or dead) can be bleached and may take several visits to complete. It is not effective on dental restorations such as amalgam fillings, metal or porcelain crowns, etc.
Teeth can discolor for various reasons. The dentist will recommend the most ideal method based on your oral condition after an in-office examination to establish the cause and nature of your tooth discoloration, as well as provide you with more information on the various types of whitening procedures available, duration & frequency of treatment.
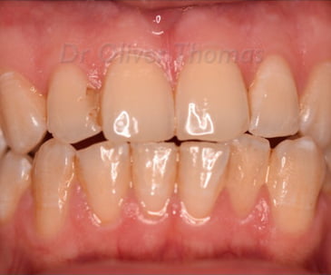
Case 1

Before 
After
A simple aesthetic improvement case involving conservative tooth whitening, air-polishing for stain removal and replacement of stained old white filling on upper incisor.

West Coast Dental Membership plan
If you're worried about expensive treatment costs, why not take a look at our monthly membership plans »


